How much is Dental hygiene/ teeth cleaning
to estimate cost, match your case to the descriptions below
I get cleanings regularly and my homecare is good
It's been awhile, my gums bleed when I brush, my homecare could be better
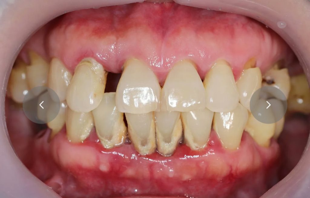
I don't remember the last time I had my teeth cleaned/ I haven't been able to take good care AT HOME.
